Case Study: Clear Aligners + Veneers

This month, I saw a pretty special case come to an end. This patient (I’ll refer to him as T) has been undergoing active treatment for over a year, and we have seen a drastic transformation to his smile! Let’s walk through it:

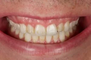
T is a 27 year old male with a chief complaint of crowding of his teeth. He presented with chronic gingivitis due to the inability of his tongue, lips, and cheeks to naturally cleanse his teeth. Did you know that people with crowded or malrotated teeth have a higher likelihood of developing problems with their gums, such as gingivitis and periodontitis, which can lead to early tooth loss?

Patient’s original dentition.

After stabilizing his gum health, we digitally scanned T’s teeth and presented him with a mock up of what his teeth would look like upon completion of aligner therapy. Aligners are an alternative to braces that are commonly used on adults with mild-moderate crowding. They are very thin, clear trays that you wear on the teeth and replace every 2 weeks until the teeth are straightened. In as little as 4 months, minor crowding/spacing can be corrected! T wasn’t quite so lucky, as his case lasted nearly a year. This is what his mock-up looked like.

Digital Mock-Up “Before”

Digital Mock-Up “After”

After completing his orthodontic treatment, the next two phases were purely cosmetic. T complained that his teeth were too small, what is often referred to as a “gummy smile.” Utilizing a diode laser, we were able to gain a couple of millimeters of tooth structure by simply removing some gum tissue. This is also a great addition prior to cosmetic crowns or veneers on the front teeth to achieve symmetry. Best part about this? T had ZERO pain during his 2 weeks of healing!

After completion of aligner therapy. Before laser gum lift.

After laser gum lift.

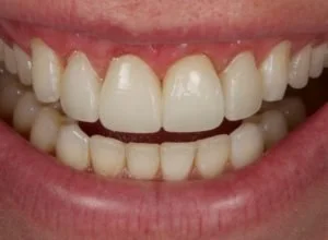
And finally, just as a cherry on top, T decided to place porcelain veneers on the top 4 teeth. He was concerned with the uneven wear of his teeth over time and thought the lateral incisors were too short. Utilizing our CEREC technology, 4 custom designed and stained porcelain veneers were placed in just one visit!

Gums have almost completely healed. Porcelain veneers to lengthen and perfect.

I’m happy to say T was very pleased!

I’m so lucky to live in this era of dentistry! This case represents just how much technology influences my practice and procedures. From being able to give patients a smile “preview” to completely changing the appearance of their teeth in just one appointment, I wouldn’t imagine doing dentistry any other way. If you’re interested in any of the procedures mentioned above, call for a consult. We’ll make it as easy as possible for you and be sure to give you the smile you’ve always wanted!

Previous
Previous

My Vision

Next
Next

Practice What You Preach